Rekonwalescencja po operacji haluksa kompleksowy przewodnik po etapach powrotu do zdrowia
- Bezpośrednio po zabiegu kluczowe jest odciążanie stopy, jej uniesienie, stosowanie zimnych okładów oraz regularna pielęgnacja rany i przyjmowanie leków przeciwbólowych.
- Przez pierwsze 6 tygodni konieczne jest noszenie specjalnego buta pooperacyjnego (Barouka) i poruszanie się o kulach, aby zapewnić prawidłowy zrost kostny i chronić operowaną stopę.
- Rehabilitacja rozpoczyna się po około 6 tygodniach, obejmując mobilizację blizny, ćwiczenia przywracające ruchomość palucha oraz wzmacniające mięśnie stopy.
- Powrót do normalnego obuwia wymaga wyboru modeli z szerokim noskiem i stabilną podeszwą, a unikanie wysokich obcasów jest kluczowe dla długotrwałego efektu.
- Stopniowy powrót do pracy i aktywności fizycznej jest możliwy po kilku tygodniach lub miesiącach, w zależności od rodzaju aktywności i indywidualnych postępów.
- Długoterminowa troska o stopę, w tym odpowiednie obuwie i monitorowanie niepokojących objawów, pomaga utrzymać efekty operacji na lata.
Pierwsze dni po operacji: kluczowe kroki dla Twojej stopy
Zaraz po operacji haluksa Twoja stopa będzie potrzebować szczególnej troski. Moje doświadczenie pokazuje, że prawidłowe postępowanie w pierwszych dniach jest absolutnie kluczowe dla komfortu i tempa gojenia. Głównym celem jest zminimalizowanie bólu i obrzęku, które są naturalną reakcją organizmu na zabieg.
Jak skutecznie radzić sobie z bólem i obrzękiem oraz pielęgnować ranę?
Aby skutecznie radzić sobie z bólem i obrzękiem, a także zapewnić prawidłowe gojenie rany, należy przestrzegać kilku podstawowych zasad. Pamiętaj, że każdy organizm reaguje inaczej, ale te zalecenia są uniwersalne i sprawdzone:
- Odciążanie operowanej stopy: Przez pierwsze dni, a nawet tygodnie, kluczowe jest unikanie obciążania operowanej stopy. Poruszaj się o kulach ortopedycznych, aby całkowicie odciążyć przodostopie.
- Uniesienie kończyny: Staraj się utrzymywać operowaną stopę w pozycji uniesionej, zwłaszcza podczas odpoczynku. Możesz podkładać pod nią poduszki, aby znajdowała się powyżej poziomu serca. To znacząco pomaga w redukcji obrzęku.
- Zimne okłady: Regularne stosowanie zimnych okładów (np. żelowych kompresów, lodu zawiniętego w ręcznik) na okolicę operowaną, przez 15-20 minut co kilka godzin, pomoże zmniejszyć obrzęk i złagodzić ból. Pamiętaj, aby nie przykładać lodu bezpośrednio do skóry.
- Pielęgnacja rany i zmiana opatrunków: Niezwykle ważne jest, aby rana była czysta i sucha. Zmiana opatrunków powinna odbywać się zgodnie z zaleceniami lekarza lub pielęgniarki. Zazwyczaj pierwsze opatrunki są zmieniane w placówce medycznej, a kolejne możesz zmieniać samodzielnie, używając sterylnych materiałów. Bezwzględnie przestrzegaj wszelkich instrukcji dotyczących pielęgnacji rany, aby uniknąć infekcji.
- Zdjęcie szwów: Szwy zazwyczaj są usuwane po około 14 dniach od operacji, podczas wizyty kontrolnej u chirurga.
Leki przeciwzakrzepowe i przeciwbólowe: co warto wiedzieć?
W okresie bezpośrednio po operacji lekarz przepisze Ci odpowiednie leki. Leki przeciwbólowe mają za zadanie kontrolować ból, który jest naturalnym elementem rekonwalescencji. Ważne jest, aby przyjmować je regularnie, zgodnie z zaleceniami, zanim ból stanie się zbyt intensywny. Nie bój się prosić o dostosowanie dawki, jeśli czujesz, że ból jest nie do zniesienia komfort pacjenta jest priorytetem. Równie istotne są leki przeciwzakrzepowe, które mają zapobiegać tworzeniu się zakrzepów krwi, co jest potencjalnym powikłaniem po każdym zabiegu chirurgicznym. Ich przyjmowanie jest kluczowe dla Twojego bezpieczeństwa i również powinno odbywać się ściśle według wskazań lekarza.Pierwsze sześć tygodni: fundament prawidłowego gojenia
Okres pierwszych sześciu tygodni po operacji haluksa to czas, w którym kładziesz fundament pod prawidłowy zrost kostny i długoterminowy sukces zabiegu. W tym etapie dyscyplina i ścisłe przestrzeganie zaleceń są absolutnie kluczowe.
But pooperacyjny (Barouka) Twój niezbędny towarzysz. Jak go prawidłowo nosić i jak długo?
Przez pierwsze 6 tygodni po zabiegu Twoim nieodłącznym towarzyszem będzie specjalny but pooperacyjny, często nazywany butem Barouka lub sandałem Gejszy. Jego rola jest nie do przecenienia. Ten but jest tak skonstruowany, aby całkowicie odciążyć przodostopie, czyli operowaną część stopy, przenosząc ciężar ciała na piętę. Dzięki temu możesz poruszać się, nie obciążając miejsca operacji, co jest niezbędne dla stabilnego zrostu kostnego i ochrony delikatnych tkanek. Noszenie go bezwzględnie przez cały ten okres, nawet w domu, jest absolutną koniecznością. Zdejmowanie go, nawet na krótką chwilę, może narazić Cię na ryzyko powikłań i opóźnić proces gojenia.
Poruszanie się o kulach i codzienne funkcjonowanie: technika i bezpieczeństwo
Poruszanie się o kulach ortopedycznych w połączeniu z butem pooperacyjnym wymaga pewnej wprawy, ale szybko stanie się drugą naturą. Pamiętaj, aby zawsze odciążać operowaną stopę, stawiając ją delikatnie na podłożu jedynie w bucie Barouka, bez przenoszenia na nią ciężaru ciała. Kule powinny być Twoim głównym punktem podparcia. W domu staraj się planować swoje ruchy, aby minimalizować chodzenie. Jeśli chodzi o codzienne czynności, takie jak branie prysznica, możesz użyć specjalnego krzesełka prysznicowego, a stopę zabezpieczyć wodoodpornym ochraniaczem na opatrunki. Pamiętaj o bezpieczeństwie usuń z podłogi wszelkie dywaniki i przeszkody, które mogłyby spowodować potknięcie.
Czego absolutnie unikać w tym okresie? Lista zakazanych czynności
W pierwszych sześciu tygodniach po operacji istnieją czynności, których musisz bezwzględnie unikać. Ich zlekceważenie może poważnie zagrozić efektom zabiegu i doprowadzić do powikłań. Oto kluczowe zakazy:
- Stawanie na palcach: To jest absolutnie zakazane. Stawanie na palcach lub obciążanie przedniej części stopy (gdzie przeprowadzono operację) może doprowadzić do przemieszczenia się zrekonstruowanych kości lub uszkodzenia stabilizacji, co zniweczy cały wysiłek.
- Zdejmowanie buta pooperacyjnego: Jak już wspomniałem, but Barouka musi być noszony przez cały czas, nawet w nocy, chyba że lekarz zaleci inaczej.
- Długotrwałe stanie: Mimo buta i kul, staraj się ograniczać długotrwałe stanie, które może nasilać obrzęk.
- Intensywna aktywność fizyczna: Wszelkie formy biegania, skakania czy dynamicznych ruchów są w tym okresie wykluczone.

Czas na rehabilitację: powrót do pełnej sprawności
Po upływie około sześciu tygodni od operacji i pomyślnym przejściu przez najbardziej krytyczny etap gojenia, nadejdzie czas na rehabilitację. To moment, w którym zaczynamy aktywnie pracować nad przywróceniem pełnej funkcji stopy. Jest to proces stopniowy, wymagający zaangażowania, ale niezwykle satysfakcjonujący, gdy widzisz postępy.
Wizyta kontrolna i zielone światło od lekarza: co dzieje się dalej?
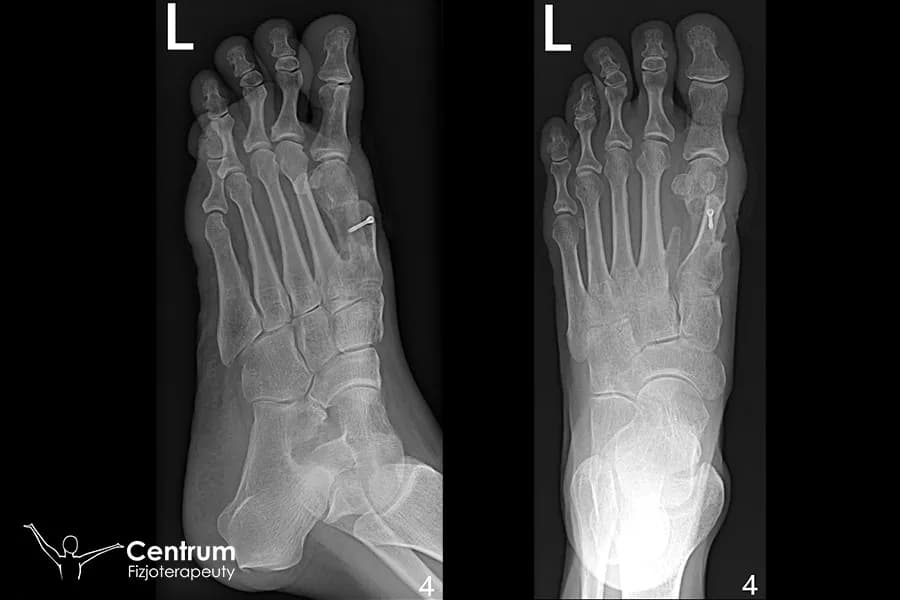
Rehabilitacja nie może rozpocząć się bez zgody lekarza prowadzącego. Zazwyczaj po około 6 tygodniach od operacji odbywa się wizyta kontrolna, podczas której wykonywane jest zdjęcie RTG. To badanie jest kluczowe, ponieważ pozwala lekarzowi ocenić, czy doszło do prawidłowego zrostu kostnego. Dopiero po potwierdzeniu tego faktu i uzyskaniu "zielonego światła" możesz bezpiecznie rozpocząć ćwiczenia rehabilitacyjne. Nie próbuj przyspieszać tego etapu na własną rękę, ponieważ mogłoby to zagrozić efektom operacji.
Pierwsze ćwiczenia i mobilizacja blizny: klucz do elastyczności
Gdy lekarz wyrazi zgodę, możesz zacząć od delikatnych ćwiczeń, które często można wykonywać samodzielnie w domu. Moje doświadczenie podpowiada, że kluczowe są następujące aspekty:
- Mobilizacja blizny: To jeden z najważniejszych elementów. Blizna po operacji ma tendencję do tworzenia zrostów, które mogą być bolesne i ograniczać ruchomość. Delikatne masowanie blizny, okrężnymi ruchami, z użyciem maści lub olejku, pomaga uelastycznić tkanki, zapobiegać zrostom i poprawiać jej wygląd. Zacznij od delikatnego dotyku, stopniowo zwiększając nacisk.
-
Ćwiczenia czynne i bierne palucha: Celem jest przywrócenie pełnego zakresu ruchu w stawie palucha.
- Ćwiczenia bierne: Delikatnie chwytaj paluch i poruszaj nim w górę i w dół, a także na boki, w granicach bezbolesnego zakresu. Nigdy nie forsuj ruchu.
- Ćwiczenia czynne: Staraj się samodzielnie zginać i prostować paluch, a także odwodzić go i przywodzić.
- Ćwiczenia wzmacniające mięśnie stopy: Po okresie unieruchomienia mięśnie stopy mogą być osłabione. Proste ćwiczenia, takie jak podnoszenie drobnych przedmiotów palcami stopy, zwijanie ręcznika stopą czy rysowanie kółek stopą w powietrzu, pomogą stopniowo wzmocnić mięśnie i poprawić stabilność.
Pamiętaj, aby wszystkie ćwiczenia wykonywać powoli, kontrolowanie i zawsze w granicach bólu. Ból jest sygnałem, że coś jest nie tak lub że przekraczasz swoje możliwości.
Rola profesjonalnej fizjoterapii: kiedy jest potrzebna i co obejmuje?
Mimo że wiele ćwiczeń możesz wykonywać samodzielnie, wsparcie profesjonalnego fizjoterapeuty jest często nieocenione, zwłaszcza jeśli masz trudności z samodzielnym postępem lub odczuwasz dyskomfort. Fizjoterapeuta nie tylko pokaże Ci prawidłową technikę ćwiczeń, ale także zastosuje specjalistyczne techniki manualne, takie jak masaż tkanek głębokich czy mobilizacje stawów, które przyspieszą powrót do sprawności. Kluczowym elementem profesjonalnej fizjoterapii jest również reedukacja chodu. Po długim okresie poruszania się o kulach i w bucie ortopedycznym, Twój wzorzec chodu mógł ulec zmianie. Fizjoterapeuta pomoże Ci odzyskać prawidłową biomechanikę stopy i całego ciała, co jest fundamentem długotrwałego sukcesu po operacji.Powrót do codzienności: obuwie, praca i aktywność fizyczna
Po intensywnym okresie rehabilitacji, nadejdzie czas na stopniowy powrót do pełnej aktywności. To etap, w którym musisz być szczególnie świadomy swoich wyborów, zwłaszcza jeśli chodzi o obuwie i obciążanie stopy. Pamiętaj, że sukces operacji zależy w dużej mierze od Twojej konsekwencji w tym okresie.
Jakie buty wybrać po zdjęciu buta ortopedycznego? Praktyczny poradnik zakupowy
Wybór odpowiedniego obuwia po odstawieniu buta ortopedycznego jest absolutnie kluczowy dla utrzymania efektów operacji i zapobiegania nawrotom haluksa. To inwestycja w zdrowie Twoich stóp na lata. Oto moje praktyczne wskazówki:
- Szeroki nosek: Szukaj butów, które mają wystarczająco dużo miejsca na palce. Twoje palce nie powinny być ściskane ani uciskane. Powinny mieć swobodę ruchu.
- Stabilna, grubsza podeszwa: Wybieraj obuwie z solidną, amortyzującą podeszwą, która zapewni odpowiednie wsparcie i stabilizację dla stopy. Unikaj cienkich, elastycznych podeszew, które nie dają wystarczającego oparcia.
- Brak wysokich obcasów: To jest fundamentalna zasada. Wielu specjalistów zaleca rezygnację z butów na wysokim obcasie na stałe. Wysokie obcasy przenoszą ciężar ciała na przodostopie, co jest główną przyczyną powstawania haluksów i może prowadzić do ich nawrotu. Jeśli musisz nosić obcasy, wybieraj te o maksymalnej wysokości 3-4 cm i tylko na specjalne okazje, nie na co dzień.
- Naturalne materiały: Stawiaj na buty wykonane z oddychających, naturalnych materiałów, takich jak skóra, które dopasowują się do kształtu stopy i zapobiegają otarciom.
- Dobre dopasowanie: Upewnij się, że buty są dobrze dopasowane, ale nie ciasne. Stopa powinna mieć komfort.
Stopniowe obciążanie stopy i nauka prawidłowego chodu: jak to robić dobrze?
Po zdjęciu buta ortopedycznego i zakończeniu intensywnej fazy rehabilitacji, rozpoczniesz proces stopniowego obciążania stopy i powrotu do naturalnego wzorca chodu. To nie jest sprint, lecz maraton. Zacznij od krótkich spacerów, stopniowo zwiększając dystans i czas. Słuchaj sygnałów wysyłanych przez Twoje ciało. Jeśli odczuwasz ból lub dyskomfort, zwolnij tempo. Pamiętaj o prawidłowej postawie i staraj się stawiać stopę od pięty, przetaczając ją przez całą podeszwę aż do palców. Reedukacja chodu z fizjoterapeutą jest w tym momencie niezwykle pomocna, aby utrwalić prawidłowe nawyki i uniknąć przeciążeń.
Kiedy możesz bezpiecznie wrócić do pracy i sportu?
Termin powrotu do pracy i aktywności fizycznej jest kwestią indywidualną i zależy od wielu czynników, w tym od rodzaju wykonywanej pracy, intensywności sportu oraz Twoich postępów w rekonwalescencji. Zawsze konsultuj te decyzje z lekarzem prowadzącym.
| Rodzaj aktywności | Orientacyjny czas powrotu |
|---|---|
| Praca biurowa (siedząca) | 2-4 tygodnie (z możliwością trzymania nogi w górze) |
| Praca fizyczna | 8-12 tygodni |
| Pełna aktywność sportowa | 3-6 miesięcy (zawsze po konsultacji z lekarzem prowadzącym) |
Długoterminowa pielęgnacja: zadbaj o efekt operacji na lata
Operacja haluksa to nie koniec, a początek nowej drogi do zdrowych stóp. Długoterminowa pielęgnacja jest kluczowa, aby utrzymać efekty zabiegu na lata i zapobiec ewentualnym nawrotom. To świadome wybory, które będziesz podejmować każdego dnia.
Rola odpowiedniego obuwia na co dzień: czy musisz na zawsze pożegnać szpilki?
Podkreślam to raz jeszcze: rola odpowiedniego obuwia w długoterminowej pielęgnacji stopy po operacji jest absolutnie fundamentalna. Unikanie wysokich obcasów to nie tylko zalecenie, ale często konieczność, jeśli chcesz zapobiec nawrotom haluksa i utrzymać efekty operacji. Wysokie obcasy przeciążają przodostopie i paluch, co było pierwotną przyczyną deformacji. Moje doświadczenie pokazuje, że rezygnacja z nich na co dzień to najlepsza decyzja dla zdrowia Twoich stóp. Jeśli trudno Ci się z nimi rozstać, ogranicz ich noszenie do absolutnie wyjątkowych okazji i na krótki czas. Na co dzień wybieraj obuwie z szerokim noskiem, płaską lub niską podeszwą i dobrą amortyzacją. To podstawa komfortu i trwałości efektów operacji.
Przeczytaj również: Ćwiczenia na haluksy w domu: Jak spowolnić deformację i zyskać ulgę?
Niepokojące sygnały: jakie objawy powinny skłonić Cię do kontaktu z lekarzem?
Mimo że większość rekonwalescencji przebiega bez problemów, ważne jest, aby być świadomym potencjalnych powikłań i wiedzieć, kiedy należy pilnie skontaktować się z lekarzem. Nawet kilka miesięcy po operacji mogą pojawić się sygnały, które wymagają natychmiastowej uwagi:
- Nasilający się ból: Jeśli ból, który wcześniej ustępował, nagle się nasila i nie reaguje na leki przeciwbólowe, może to świadczyć o problemie.
- Gorączka: Podwyższona temperatura ciała, zwłaszcza w połączeniu z innymi objawami, może wskazywać na infekcję.
- Zaczerwienienie lub ropny wyciek z rany: Jakiekolwiek zaczerwienienie, obrzęk wokół blizny, ciepło w tym miejscu, a zwłaszcza ropny wyciek, są sygnałami alarmowymi i wymagają natychmiastowej konsultacji lekarskiej.
- Drętwienie lub mrowienie: Uporczywe drętwienie lub mrowienie w stopie, które nie ustępuje, może wskazywać na podrażnienie nerwów.
Pamiętaj, że lepiej dmuchać na zimne i skonsultować każdy niepokojący objaw z lekarzem. Szybka reakcja może zapobiec poważniejszym problemom i zapewnić Ci pełny powrót do zdrowia.






